Seri - Seri Leukosit
- Menilai unsur sel pada darah tepi : Eritrosit, Leukosit, Trombosit
- Mencari adanya parasit : Malaria, Mikrofilaria
Prinsip kerja :
Setetes darah dipaparkan diatas kaca objek lalu dicat dan diperiksa dibaqwah mikroskop
Alat :
kaca objek glass bebas lemak dan debu , kering dan bersih
rak pewarnaan
pipet pastuare
mikroskop
Bahan pemeriksaan :
darah vena yang telah di beri antikoagulan (EDTA/ Ethylendiamine Tetraacetic Acid)
Reagen :
oil emersi
metanol
buffer
1 ml + 5 tetes giemsa induk
Cara kerja :
- objek glass harus kering, bebas air, bebas lemak, dan debu
- teteskan sedikit darah pada objek glass
- sentuh setetes darah dengan jarak kurang lebih 2cm dari ujung objek glass dan letakkan di atas meja dengan setetes darah di sebelah kanan
- gerakkan tangan kanan pada objek glass lainnya di sebelah kiri tetes darah
- gerakkan darah sampai memcapai kurang lebih 1/2cm dari kaca
- dorong kaca penggeser ke kiri stabil memegang miring dengan sudut 30 - 40 derajat
- biarkan sediaan kering dan tulis nama penderita dan tanggal pembuatan
- lalu sediaan siap di warnai
Cara perwarnaan dengan Giemsa :
- letakkan sediaan yang akan di pulas di atas rak dengan lapisan darah ke atas
- teteskan beberapa tetes metanol ke atas sediaan hapusan sehingga bagian yang terlapis darah tertutup semuanya , biarkan selama 5 menit
- tuanglah kelebihan metanol tadi
- lalu teteskan larutan giemsa yang telah di encerkan (1 ml + 5 tetes giemsa induk) biarkan selama 15 -20 menit
- setelah itu bilas dengan air dan biarkan vertikal sampai kering
Seri - Seri Leukosit
Bentuk / Ukuran :
- semakin tua sel semakin kecil sel
- semakin muda sel semakin besar sel
Anak Inti
- semakin tua sel tidak memiliki anak inti
- semakin muda sel memiliki anak inti
Kromatin :
- semakin muda sel kromatin semakin halus
- semakin tua sel kromatin semakin kasar
Granula :
- semakin tua sel semakin banyak granula
- semakin muda sel semakin sedikit granula
Inti sel :
- semakin tua sel semakin berubah / melekuk
Warna :
- sel muda akan berwarna biru
- sel tua dan semakin tua akan berwarna merah
Metamieolosit
Metamieolosit Eosin
Metamieolosit
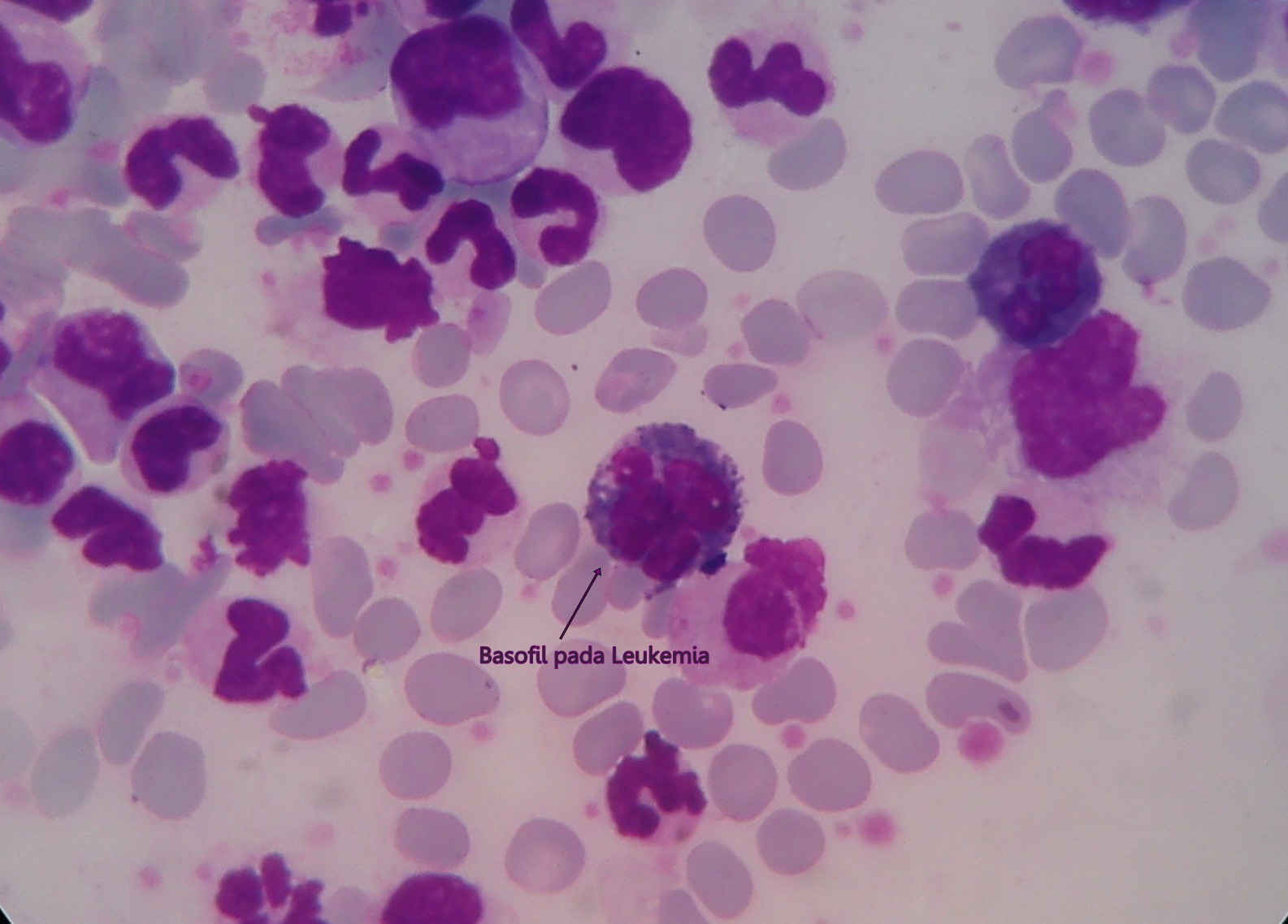
Basofil Pada Leukimia
Premieolosit
Rubrisit dan Metarubrisit
Promonosit dan Netrofil Segmen
Netrofil Stab / Batang
Mieolosit Eosin
Netrofil Stab / Batang










0 komentar:
Posting Komentar